До відділення онкоурології звернувся пацієнт М.61 рік, з Херсонської області.
Анамнез життя:
Пацієнт М. пережив три інфаркти міокарду (04.2009; 07.2009; 08.2020) ;
Інсульт – 2011 (без наслідків);
01.2018 була операція – протезування черевного відділу аорти.
Пацієнт регулярно проходив обстеження всього організму.
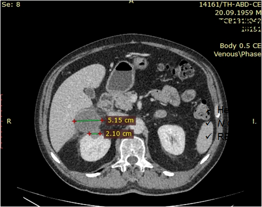
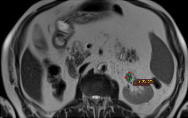
Під час проведення профілактичного УЗД у нього було виявлено пухлину правої нирки.
Під час дообстеження у відділенні Національного інституту раку, встановлено клінічний діагноз.
Основний: T-r (2 пухлини) правої нирки сT2 N0 M0 Gх ст ІI, кл.гр 2.
Супутній: Кісти нирок.
Перенесений у минулому інфаркт міокарда. ІХС:
Стенокардія напруги ІІ ФК. Післяінфарктний (04.,07.2009; 08.2020) кардіосклероз.
Аортосклероз.
Гіпертонічна хвороба ІІІ ст.
Відносна мітральна, тристулкова недостатність.
Помірна міокардіальна недостатність – ФВ 47 %.
Помірна гіпертензія в легеневій артерії.
Наявність аортокоронарного шунтового трансплантата.
Стан після АКШ-3 + МКШ-1 у 2009. СН ІІ А ст. ФК (по NYHA): ІІІ ст.
Резекція черевного відділу аорти, протезування черевного відділу аорти (01.2018). ГПМК (2014).
Під час засідання мультидисциплінарного консиліуму колектив фахівці постановив:
Провести резекцію правої нирки у плановому порядку
ASA – IV
Склад операційної бригади:
Хірург: проф. Е.О. Стаховський;
Анестезіолог: О.В. Мельник;
Колектив медичних сестер операційних.
Операція тривала 70-хв.
Після операційний перебіг без особливостей
Дренаж видалено на 3 день після операції.
Діурез до 2200 мл
Пацієнта М. виписали у задовільному стані додому, проходити подальше лікування.
Бажаємо йому міцного здоров’я та довголіття.
Рання діагностика новоутворень, догляд за власним організмом – рятує життя!





