На сьогоднішній день відділення пухлин органів черевної порожнини Національного інституту раку активно займається впровадженнями нових технологій в тому числі і цікавого сучасного напрямку – терапії спрямованої на печінку (liver directed therapy). Даний напрямок включає цілий ряд методик які принципово відрізняються за своїми механізмом дії, але мають спільну ціль – лікування первинних пухлин і метастазів, які розташовані в печінці. Liver directed therapy включає різноманітні технології та їх поєднання: радіочастотна абляція (локальні руйнування пухлин печінки високими температурами), радіохірургія (зовнішня високоточна дія радіоактивного випромінювання); внутрішньосудинні методи (внутрішньоартеріальна хіміотерапія, емболізація або радіоемболізація пухлин), кріодеструкція, ізольована хіміоперфузія та ін.
Колоректальний рак (або рак товстої кишки) – один з найбільш поширених раків у світі, займає третю позицію за частотою діагностування. Цей вид раку найчастіше поширюється на печінку: близько у 60% пацієнтів на якомусь із етапів лікування діагностують печінкові метастази.
Після тривалого лікування та зміни декількох ліній хіміотерапії перед лікарем часто постає питання “хіміорезистентності” – коли схеми хіміотерапії вичерпано, а рак продовжує прогресувати.
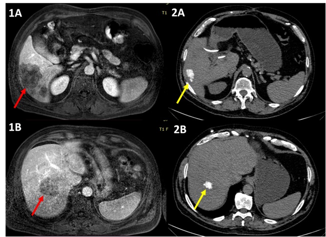
Одним з підходів, що поєднує здатність хіміотерапевтичних препаратів вбивати пухлинні клітини, та місцеве підведення цих препаратів прямо до «точки призначення» через живлячу судину, є внутрішньоартеріальна хіміотерапія печінкових метастазів.
Ця методика передбачає хірургічне встановлення катетера в печінкову артерію та подальше введення через нього хіміотерапевтичних препаратів. Методика широко використовується у багатьох провідних онкологічних центрів світу, зокрема США – Клініки Мейо та Онкологічного центру MD Anderson


«Внутрішньоартеріальна хіміотерапія дозволяє подолати хіміорезистентність у пацієнтів, що прогресують на «класичному» внутрішньовенному введенні препаратів і повернутись до ефективного використання попередніх комбінацій хіміотерапіі. Світовий досвід використання методики демонструє, що відповідь захворювання на звичайне та внутрішньоартеріальне введення навіть одних і тих самих препаратів може відрізнятись. Пухлина більш сприйнятлива до препарату, підведеного безпосередньо через судину, яка її живить. Хіміопрепарати при класичному введенні також циркулюють у венозному руслі. Звісно, вони все рівно здійснюють системний вплив на рак. Проте така собі «адресна доставка» дозволяє підвищити шанс на успіх» – зазначає лікар-онколог відділення малоінвазивної та ендоскопічної хірургії, інтервенційної радіології Катерина Черченко.

Завідувач відділення пухлин органів черевної порожнини, заступник директора НІР Андрій Лукашенко зазначає, що найкращим методом лікування печінкових метастазів колоректального раку залишається хірургічне видалення в комплексі із хіміотерапією, але майже 85% первинних випадків метастазування в нашій країні є первинно неоперабельними. Методика внутрішньоартеріальної хіміотерапії підвищує вірогідність зменшення вогнищ в достатньому обсязі, щоб згодом провести їх хірургічне видалення. Поява можливості видалення печінкових метастазів, які раніше були нерезектабельними, називається конверсією. Хірургічне лікування на будь-якому етапі підвищує показники загальної виживаності та відтерміновує рецидив, порівняно з пацієнтами, які отримували лише системну хіміотерапію.
